Top.Mail.Ru
ekb@dia-m.ru 8 (800) 234-05-08
+7 (912) 658-76-06
Ваш регион Москва?

Вернуться назад

Антитела anti-Akt phospho (Ser473) antibody, кроличьи поликлональные, Arigobio, Китай

Артикул Цена, руб. Наличие на складе Количество
ARG51558.50 50 мкл По запросу Под заказ
Артикул Цена, руб. Наличие на складе Количество
ARG51558.100 100 мкл По запросу Под заказ

Описание

Оплата и доставка

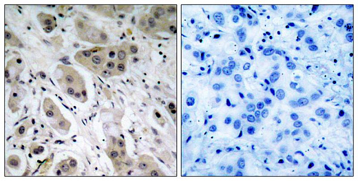
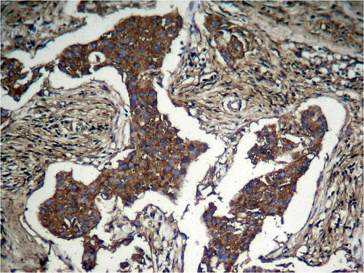
Akt, также известная как протеинкиназа B (PKB), представляет собой серин/треонин-специфическую протеинкиназу, которая играет ключевую роль в клеточных процессах, таких как метаболизм глюкозы, апоптоз, пролиферация клеток, транскрипция и миграция клеток. AKT может фосфорилироваться комплексом mTOR 2 (mTORC2) и ДНК-зависимой протеинкиназой (DNA-PK) по остатку Serine 473 (Ser473).

Характеристики антител anti-Akt phospho (Ser473) antibody

  • Видовая специфичность – человек, мышь, крыса;
  • изотип – IgG;
  • иммуноген – пептидная последовательность вокруг сайта фосфорилирования серина 473 (Q-F-S(p)-Y-S), полученная из человеческого Akt;
  • конъюгация – неконъюгированные;
  • концентрация, мг/мл – 1;
  • очистка – аффинная хроматография;
  • применение – ICC/IF, IHC-P, WB;
  • синонимы – Protein kinase B alpha; Proto-oncogene c-Akt; RAC; PKB alpha; RAC-ALPHA; CWS6; PRKBA; AKT; PKB; RAC-PK-alpha; PKB-ALPHA; RAC-alpha serine/threonine-protein kinase; EC 2.7.11.1; Protein kinase B;
  • буфер для хранения – PBS (без Mg²⁺ и Ca²⁺, pH 7,4), 150 мМ NaCl, 0,02 % азида натрия и 50 % глицерина;
  • условия транспортировки, °C – +2-8;
  • условия хранения, °C – - 20 (в виде аликвот).

Публикации

Данные антитела использованы в следующих публикациях:

1. Dopamine D2 receptor regulates cortical synaptic pruning in rodents

WB / Rat

Ya-Qiang Zhang et al.
Nat Commun., (2021)

2. 1,3-dichloro-2-propanol induced lipid accumulation by blocking autophagy flux in HepG2 cells.

WB / Human

Jing Lu et al.
Toxicology., (2021)

3. Mild hypothermia protects rat cortical neurons against oxygen-glucose deprivation/reoxygenation injury via the PI3K/Akt pathway.

WB, ICC/IF / Rat

Zan Gao et al.
Neuroreport., (2021)

4. Pharmacological blockage of ICAM-1 improves angiotensin II-induced cardiac remodeling by inhibiting adhesion of LFA-1+ monocytes.

WB / Mouse

Lin Qiu-Yue et al.
Am J Physiol Heart Circ Physiol., (2019)

5. Protective effects of dioscin against fructose-induced renal damage via adjusting Sirt3-mediatedoxidative stress, fibrosis, lipid metabolism and inflammation.

WB / Rat

Qiao Yujie et al.
Toxicol Lett., (2017)

Раскрыть описание

Доставка

Доставка осуществляется по всей России и странам СНГ. Возможен самовывоз со склада по адресу Московская область, г. Мытищи, 7-й Ленинский переулок, д.13. Доставка по Москве и Московской области осуществляется бесплатно.

Цена товара указана со склада в Москве и не включает расходы на доставку в другие города.

Вы можете выбрать способ доставки в личном кабинете, чтобы он автоматически указывался при оформлении всех последующих заказов. При выборе варианта «Транспортная компания по выбору клиента» укажите в комментариях транспортную компанию, с которой вы предпочитаете работать.

Точная стоимость доставки рассчитывается менеджером при подтверждении заказа в зависимости от весообъемных характеристик и дальности. Товары, требующие особого температурного режима, доставляются с соблюдением требуемых условий. Если в заказе есть прекурсоры, необходимо оформить официальное письмо об отпуске прекурсоров. (образец письма об отпуске прекурсоров)


Оплата

Компания Диаэм работает с юридическими и физическими лицами. После оформления заказа продавец-консультант сформирует счет и направит его вам по электронной почте и на страницу заказа в Личном кабинете на сайте. Вы также можете сами сформировать счет из Корзины, авторизовавшись на сайте. Счет оплачивается через банк. Вы можете оплатить товар в кассе Диаэм или любом отделении банка.

Для получения товара необходимо предоставление доверенности организации, а для получения товара при оплате физическим лицом необходим паспорт.

Раскрыть анкету для отправки запроса

Похожие товары
100 139 руб.
По запросу
PA550580
Нет в наличии
PA550580ду
В наличии
70 953 руб.
СПЕЦЦЕНА
32 970 руб.
ARG51850.50
Нет в наличии
ARG51850.100
Нет в наличии
По запросу
По запросу
ARG54710.50
Нет в наличии
ARG54710.100
Нет в наличии
65 382 руб.
93 504 руб.
С этим товаром покупают
TCP001001
Нет в наличии
TCP000001
Нет в наличии
TCP001004
Нет в наличии
TCP001006
Нет в наличии
TCP000006
Нет в наличии
TCP001012
Нет в наличии
TCP000012
Нет в наличии
TCP001024
Нет в наличии
TCP000024
Нет в наличии
TCP001048
Нет в наличии
TCP000048
Нет в наличии
TCP001096
Нет в наличии
TCP000096
Нет в наличии
TCP001384
Нет в наличии
10 819 руб.
19 967 руб.
9 036 руб.
7 468 руб.
13 426 руб.
8 328 руб.
12 910 руб.
8 328 руб.
17 732 руб.
9 272 руб.
14 633 руб.
7 468 руб.
15 541 руб.
10 069 руб.
D314136.0005
Нет в наличии
D314136.0025
Нет в наличии
D314136.0100
Нет в наличии
D314136.0001
Нет в наличии
По запросу
По запросу
По запросу
По запросу
D4197255.0050
Нет в наличии
D4197255.0500
Нет в наличии
По запросу
По запросу
29 735 руб.
21 035 руб.
VS0101
Нет в наличии
VS0102
Нет в наличии
23 038 руб.
72 776 руб.
Ваш заказ будет обработан
в ближайшее время.
Мы пришлем уведомление, как только все будет готово. Спасибо!